
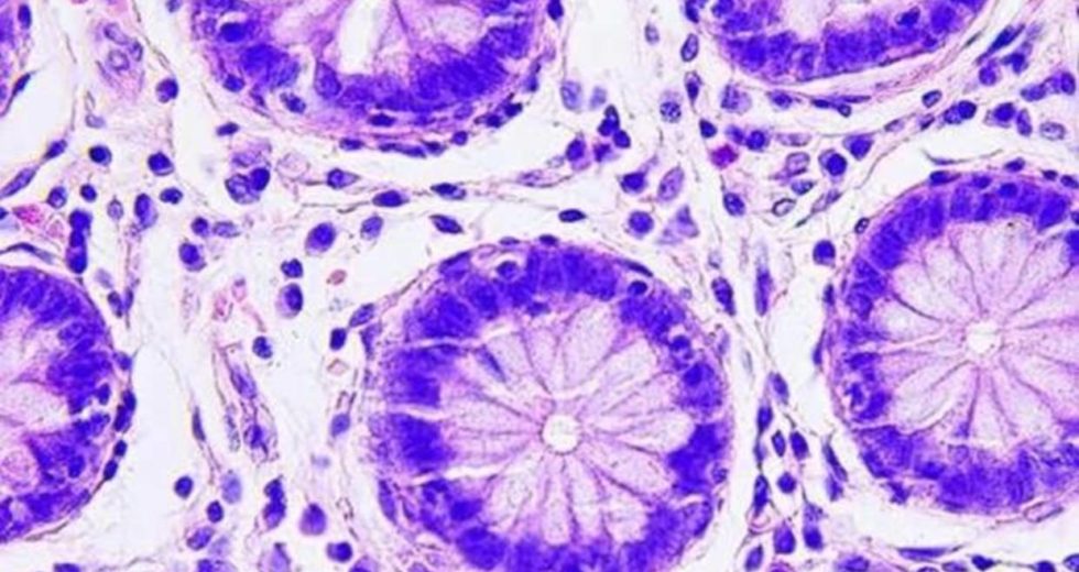
A new study conducted by Western University’s researchers revealed that one gene, when removed from mice, might lead to increased…

Cancer is, after cardiovascular diseases, the second leading cause of death among the population of the world. This high mortality…

A fresh research has studied how the genetic information is associated with the children’s vegetables-hating behavior and observed that 80%…